CT - Computertomographie
Bei unserem Multislice-Computertomographen rotiert ein Röntgenröhren-Detektor-System um den Patienten und ermöglicht so präzise Schnittbilder des Körperinneren, die in allen Körperachsen rekonstruiert werden können.
Hierfür liegen Sie als Patient auf einer Liege, die sich in einen ca. 70 cm breiten Ring hinein bewegt. Da man von jeder Position aus diesem Ring hinausschauen kann, tolerieren auch Patienten mit Klaustrophobie ("Platzangst") diese Methode in der Regel ohne Probleme.
Die genaue Funktionsweise der Computertomographie erklären wir hier:
Was ist CT?

In vielen Fällen muss den Patienten für die Untersuchung jodhaltiges Kontrastmittel in eine Armvene gespritzt werden, um die Organe besser analysieren zu können. Dann benötigen wir vor der Untersuchung Ihren Nierenwert, den sogenannten Kreatinin-Wert und den Schilddrüsenwert, den TSH-Wert.

In einigen Fällen kann es nötig sein, dass Sie als Patient auch Kontrastmittel trinken müssen. Das ist zur Kontrastierung des Magen-Darm-Traktes bei Bauchuntersuchungen für bestimmte Fragestellungen notwendig. Die Trinkflaschen mit Kontrastmittel können Sie einige Tage vor der Untersuchung bei uns an der Anmeldung abholen.
Schwangere sollten zum Schutz des ungeborenen Kindes keinen Röntgenstrahlen ausgesetzt werden. Eine evtl. Schwangerschaft muss vor der Untersuchung ausgeschlossen sein.
Untersuchungsregionen
CT Kopf
CCT
Eine CCT spielt eine wichtige Rolle zur schnellen Überprüfung von Schlaganfall und Blutungen.
CT NNH
Die CT der Nasennebenhöhlen (NNH) ist sehr hilfreich bei der Diagnose von Erkrankungen wie Sinusitis, Polypen, Tumoren oder anatomischen Anomalien.
CT Mittelgesicht
Die CT des Mittelgesichtes spielt eine zentrale Rolle in der Traumadiagnostik. Sie wird eingesetzt zur Erkennung von Knochenbrüchen des Gesichtsschädels.
CT Felsenbein
Eine CT des Felsenbeins wird durchgeführt z.B. bei einer Abklärung von Cholesteatom oder Otosklerose. Nach Trauma kann mittels Felsenbein-CT eine Felsenbeinfraktur gefunden werden.
CT Hals
CT Halsweichteile
Die Hals CT dient zur Beurteilung von krankhaften Veränderungen wie Tumoren, Lymphknotenvergrößerungen oder Entzündungen.
CT Brustkorb
CT Thorax
Die Untersuchung des Thorax umfasst das Lungengewebe, Lymphknoten und Teile des Brustkorbs inklusive der Rippen. Die Thorax CT wird eingesetzt bei der Beurteilung von Verletzungen, Entzündungen, Tumoren oder anderen Erkrankungen dieser Region.
CT der Lungenarterien
Die CT Angiographie der Lungenarterien (Pulmonalarterien) wird eingesetzt bei dem Verdacht auf eine Lungenembolie. Dafür werden die Arterien mit Kontrastmittel kontrastiert, um Thromben in der Lungen-Strombahn zu erkennen.
HR-CT Thorax
Die HR-CT der Lunge ist eine hochauflösende Darstellung des Lungen- und Bronchialgewebes ohne Kontrastmittel zur Erkennung von krankhaften Veränderungen wie z.B. Lungenfibrose, Lungenentzündung, Lungenemphysem oder Bronchiektasen.
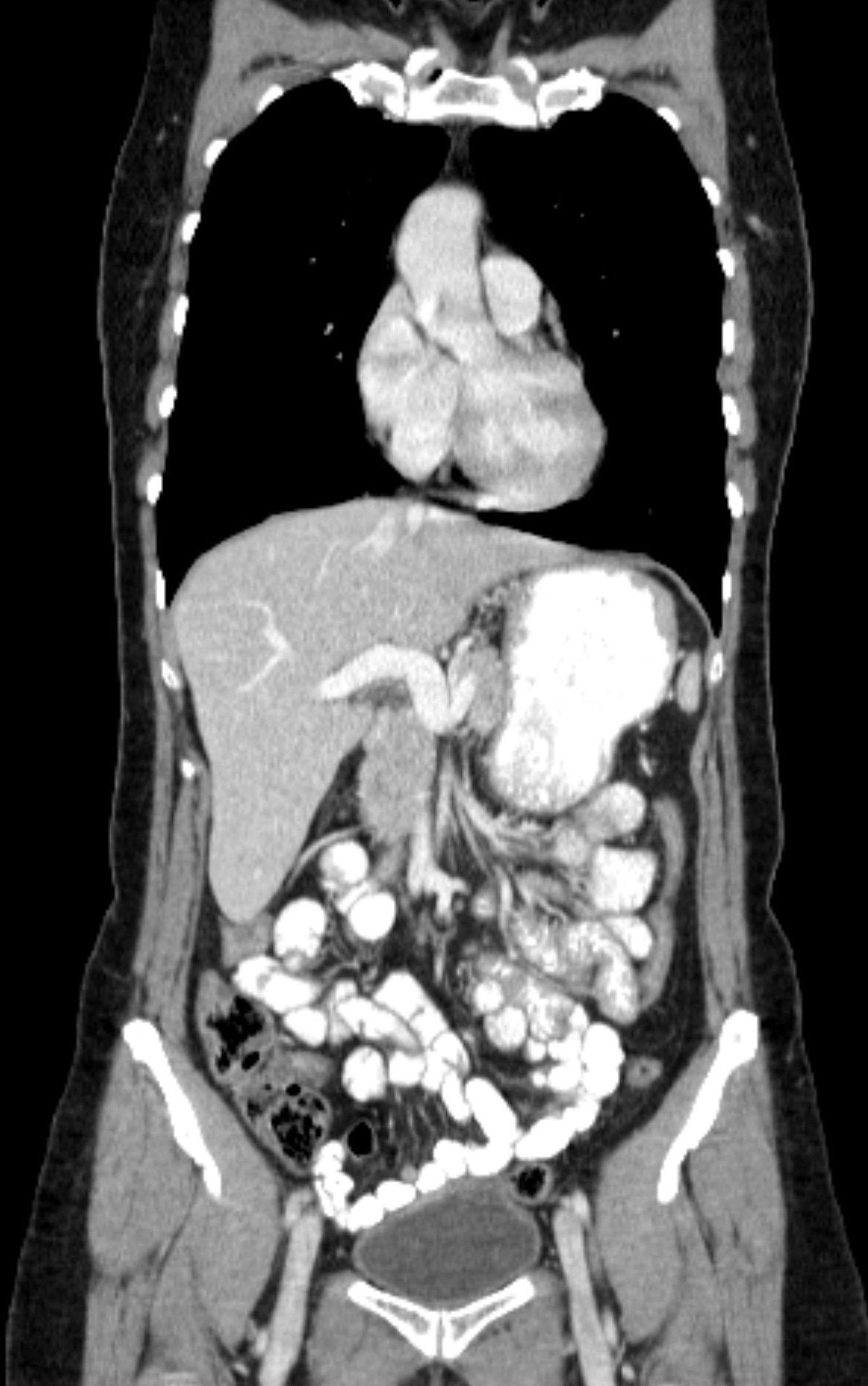
CT Bauch
CT Oberbauch
Zur Beurteilung der verschiedenen Oberbauchorgane wie Leber, Nieren, Nebennieren, Bauchspeicheldrüse, Milz, Gallenblase etc. bietet sich die Oberbauch-CT mit in die Armvene gespritztem Kontrastmittel an.
CT Leber
Eine Leber-CT wird mit i.v. Kontrastmittel durchgeführt und unterstützt bei der Suche von Tumoren, Metastasen, Gallenstau und gibt Hinweise auf eine Leberverfettung / Fettleber oder Leberzirrhose.
CT Nieren
Eine Computertomographie der Nieren ist indiziert bei Verdacht auf Nierensteine und deren Größen- und Lagebestimmung sowie bei unklaren Nierenveränderungen wie z.B. Tumoren (Nierenzellkarzinom, Onkozytom, Angiomyolipom, etc.).
CT Urogramm
Eine der häufigsten Gründe für ein CT-Urogramm ist Blut im Urin (Mikrohämaturie oder Makrohämaturie), der Ausschluss von Tumoren (z.B. Nierenzellkarzinom oder Urothelkarzinom) und Steinen. Zur Beurteilung der Nieren und ableitenden Harnwege wird Kontrastmittel gespritzt und seine Ausscheidung über die Nieren sichtbar gemacht. So unterscheidet man z.B. einen Harnstau von Nierenzysten, die neben dem Nierenbecken liegen.
Stein CT
Bei Nierenkoliken wird zur Suche von Nierensteinen oder Harnleitersteinen eine Computertomographie ohne Kontrastmittel durchgeführt. Sie kann Steine in Nieren, Harnleiter und Harnblase zeigen und einen evtl. durch den Stein verursachten Harnstau aufdecken.
CT Abdomen
Zur Beurteilung der Bauch-organe und der Lymphknoten im Bauchraum bietet sich die Abdomen-CT an. Der Patient trinkt hierfür in der Regel Kontrastmittel zur besseren Sichtbarkeit der Darmschlingen und bekommt zur Darstellung der Organe KM gespritzt.
Wenn der Verdacht auf eine Sigmadivertikulitis vorliegt, bekommt der Patient für die bessere Darstellung des Enddarms auch einen Einlauf.
CT Becken
CT knöchernes Becken
Bei Frage nach knöchernen Veränderungen des Becken wird eine CT ohne Kontrastmittel durchgeführt. Man kann knöcherne Veränderungen wie z.B. Beckenbruch nach Unfall meist gut erkennen.
CT Gelenke
CT Schulter
Die Schulter CT kann helfen, nach Unfällen die Ursache für Schmerzen und Bewegungseinschränkung zu finden, z.B. Knochenbrüche oder Knochenabsprengungen.
CT Ellenbogen
Eine Ellenbogen CT wird oft bei Verdacht auf Verletzungen nach Unfall durchgeführt, beispielsweise bei Ellenbogenbrüchen wie Radiusköpfchenfraktur, Olecanonfraktur oder knöchernen Bandausrissen.
CT Handgelenk und CT Hand
Bei Unfällen oder Sportverletzung kann die Handgelenks-CT / Hand-CT Veränderungen darstellen wie Knochenbrüche, Knochenabsprengungen oder knöcherne Bandausrisse.
CT Hüfte
Eine Computertomographie der Hüfte kann bei unfallbedingten Schmerzen im Hüftbereich durchgeführt werden und stellt Knochenbrüche wie z.B. einen Schenkelhalsbruch meist gut sichtbar dar.
CT Knie
Sportverletzung und Unfälle können ein Grund für eine Kniegelenks-CT sein und zeigen Knochenbrüche, Absprengungen von Knochenschalen und knöcherne Bandausrisse.
CT Sprunggelenk
CT Fuß
Nach schweren Traumata unterstützt eine Computertomographie die Beurteilung von Knochenbrüchen und deren Stellung, was bei komplexen Verletzungen hilfreich sein kann.
CT Wirbelsäule
CT knöcherne Wirbelsäule
Eine Computertomographie der Wirbesäule kann zusätzliche Informationen liefern bei Wirbelbrüchen, z.B. über die Stellung der Wirbelkörperhinterkante und Knochenstücke im Spinalkanal. Bei Wirbelgleiten kann die CT die Bruchstelle im Wirbelbogen, die Spondylolyse, gut darstellen.
CT Bandscheiben
Eine Computertomographie der Bandscheiben ist nur indiziert, wenn bei dem Patienten aufgrund von Herzschrittmacher oder anderen Gründen eine MRT-Untersuchung nicht durchgeführt werden kann. Ansonsten ist für die Beurteilung der Bandscheiben eine MRT der Wirbesäule deutlich besser.
CT Angiographie
CT Angiographie der Aorta
Eine CTA der Aorta wird durchgeführt, um den exakten Durchmesser zu bestimmen bei Aortenaneurysma und um nach Einlage eines Aortenstents dessen Dichtigkeit zu überprüfen. Notfallindikationen für eine CTA sind Aortendissektion und Aneurysmaperforation.
CT Angiographie der Lungenarterien
Eine CTA der Lungenarterien (Pulmonalarterien) wird eingesetzt bei dem Verdacht auf eine Lungenembolie. Durch das in die Armvene gespritzte Kontrastmittel können Thromben in der Lungen-Strombahn sichtbar gemacht werden.
Fragen und Antworten zur CT (FAQ):
Aufklärungsbogen Computertomographie / CT
Als Vorbereitung für eine Untersuchung mittels Computertomographie / CT finden Sie hier den entsprechenden Aufklärungsbogen mit allen wichtigen Informationen. Sie können diesen Bogen am PC ausfüllen. Bitte drucken Sie sich den entsprechenden Aufklärungsbogen danach aus und bringen Sie ihn zu Ihrer Untersuchung mit.
