Mammographie als Basis der Brustkrebs-Erkennung
Die Diagnose von Brustkrebs kann für Frauen ein Leben veränderndes Ereignis sein. In Deutschland ist Brustkrebs die häufigste Krebserkrankung bei Frauen und eine rechtzeitige Diagnose kann Leben retten. Die Brustkrebsinzidenz in Deutschland liegt bei etwa 70.000 Neuerkrankungen pro Jahr. Das bedeutet, dass eine von acht Frauen im Laufe ihres Lebens an Brustkrebs erkranken wird. Das ist eine erschreckend hohe Zahl, die zeigt, wie wichtig die Früherkennung von Brustkrebs ist.
Indikationen
Aus diesem Grund hat die Deutsche Gesellschaft für Senologie eine S3-Leitlinie für die Früherkennung von Brustkrebs veröffentlicht, die die aktuellen Empfehlungen für die Durchführung von Mammographien beinhaltet.
Die S3-Leitlinie empfiehlt als Basis, dass Frauen ab dem 50. Lebensjahr alle zwei Jahre eine Mammographie durchführen lassen sollten. Dieses Screening soll bis zum Alter von 69 Jahren fortgesetzt werden, sofern keine gesundheitlichen Gründe dagegen sprechen. Frauen, die ein höheres Risiko für Brustkrebs haben, sollten bereits vor dem 50. Lebensjahr mit einem Arzt über die Notwendigkeit einer früheren Früherkennung sprechen.
Aber eine Mammographie ist nicht nur ein Screening-Tool. Es gibt auch Indikationen für die Durchführung einer Mammographie außerhalb des Screenings, wie zum Beispiel bei Frauen mit auffälligen Brustveränderungen oder Schmerzen. Auch bei Frauen, die bereits Brustkrebs hatten, wird eine Mammographie als Nachsorge-Tool eingesetzt, um sicherzustellen, dass der Krebs nicht wieder aufgetreten ist.

Bild von wayhomestudio auf Freepik
Technik
Unser neues Mammographiegerät verwendet die modernste Flachdetektortechnologie. Dadurch wird eine besonders geringe Strahlendosis erreicht, was für die Patientinnen von Vorteil ist. Auch das Design des Geräts wurde verbessert: Die abgerundeten Ecken und das spezielle Flex-Paddle sorgen für höheren Komfort während der Mammographieaufnahme als früher.
Die Kompression während der Mammographieaufnahme ist ein wichtiger Bestandteil des Verfahrens. Sie ermöglicht es, das Gewebe der Brust zu verteilen und eine klarere Darstellung des Brustgewebes zu erhalten. Die Kompression ist jedoch auch einer der Gründe, warum Frauen zögern, sich einer Mammographie zu unterziehen.
Unser neues Mammographiegerät bietet jedoch einige Vorteile, die den Komfort während der Kompression verbessern können. Zum Beispiel ist die Kompression kürzer als bei früheren Technologien, was den Stress während des Verfahrens reduziert. Selbstverständlich wird sie bei der Mammographie immer in Rücksprache mit der Patientin durchgeführt, da jede Frau unterschiedlich druckempfindlich ist.
Vorbereitung
Wir empfehlen als Vorbereitung vor der Untersuchung keine Körperlotion, keinen Körperpuder und kein Deodorant aufzutragen. Es können sich in den Inhaltsstoffen dieser Pflegeprodukte kleine Partikel befinden, die auf der Mammographieaufnahme abgebildet werden und die Analyse erschweren oder verfälschen können. Eine evtl. Schwangerschaft muss vor der Untersuchung ausgeschlossen sein.
Eine spezielle Form der Mammographie ist die Galaktographie, bei der vor der Röntgenaufnahme ein Kontrastmittel in einen Milchgang der Brustdrüse gespritzt wird, um ihn so sichtbar zu machen.
Insgesamt bietet eine Mammographie eine wichtige Möglichkeit zur frühzeitgen Brustkrebs-Erkennung. Mit unserem neuen Mammographiegerät können Frauen die Vorteile der modernsten Technologie nutzen, um ihre Gesundheit zu schützen. Die geringere Strahlendosis, die abgerundeten Ecken und das spezielle Flex-Paddle machen das Verfahren weniger unangenehm und die Kompression kann durch die individuelle Einstellbarkeit auf ein angenehmes Niveau reduziert werden. Sprechen Sie uns an.
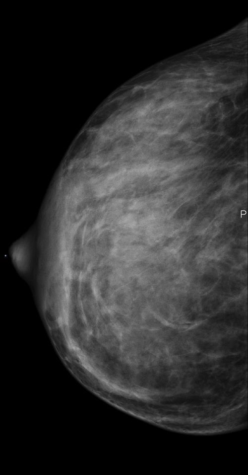
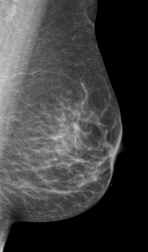
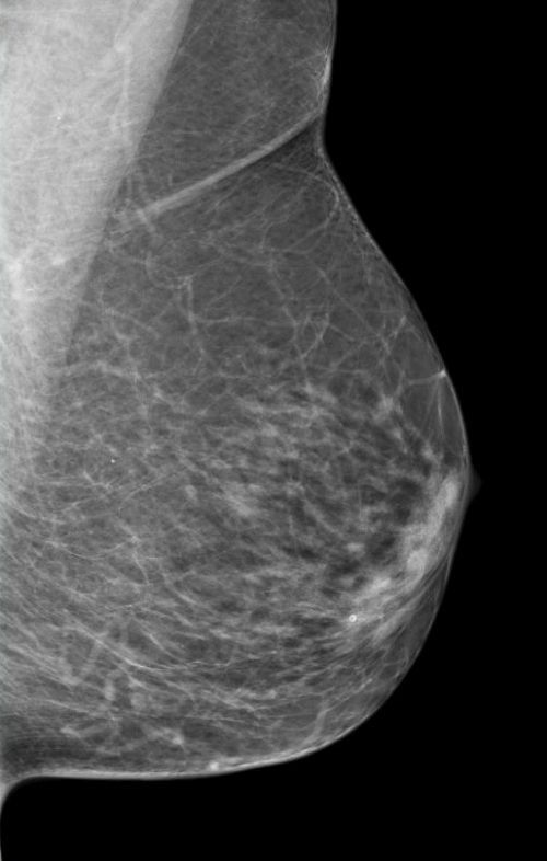
ACR-Klassifikation der Brustdichte in der Mammographie
Die ACR-Klassifikation der Brustdichte in der Mammographie ist ein System zur Einteilung der Brustgewebe in vier Kategorien, die von A bis D reichen. In Deutschland wird der anstatt ACR der Begriff Beurteilbarkeitsstufe verwendet.
Die Kategorie A steht für eine fast vollständig fettreiche Brust, die Kategorie B für eine überwiegend fettreiche Brust mit einigen fibroglandulären Bereichen, die Kategorie C für eine heterogen dichte Brust mit mehreren fibroglandulären Bereichen und die Kategorie D für eine extrem dichte Brust mit sehr wenig Fettgewebe.
Die Brustdichte ist ein wichtiger Faktor für die Erkennung von Brustkrebs, da dichtes Gewebe die Beurteilbarkeit der Mammographie erschweren und mögliche Tumoren verdecken kann. Die ACR-Klassifikation der Brustdichte in der Mammographie hilft den Radiologen, die Aussagekraft der Mammographie zu beurteilen. Je dichter das Drüsengewebe, desto sinnvoller ist eine zusätzliche Methode wie Mamma-Sonographie oder Mamma-MRT.




BI-RADS Klassifikation in der Mammographie
Die BI-RADS Klassifikation ist ein international anerkanntes System zur Beurteilung von Mammographiebefunden. BI-RADS steht für Breast Imaging Reporting and Data System und wurde vom American College of Radiology (ACR) entwickelt. Die Klassifikation dient dazu, die Befunde einheitlich zu beschreiben und die Wahrscheinlichkeit für das Vorliegen eines Mammakarzinoms anzugeben. Die BI-RADS Klassifikation wird in Deutschland Befundkategorie genannt und umfasst sechs Kategorien, die von 0 bis 5 nummeriert sind:
- BI-RADS 0 / Befundkategorie 0: Unvollständige Untersuchung. Es sind weitere Bilder oder eine zusätzliche Bildgebung (z.B. Ultraschall oder Magnetresonanztomographie) erforderlich, um den Befund zu klären.
- BI-RADS 1 / Befundkategorie 1: Unauffällig. Es gibt keine Anzeichen für einen Tumor in der Brust.
- BI-RADS 2 / Befundkategorie 2: Benigne (gutartig). Es gibt typische gutartige Veränderungen in der Brust, wie z.B. Zysten, Fibroadenome oder Kalzifikationen, die kein Risiko für ein Mammakarzinom darstellen.
- BI-RADS 3 / Befundkategorie 3: Wahrscheinlich benigne. Es gibt Veränderungen in der Brust, die in weniger als 2% der Fälle bösartig sind, aber eine engmaschige Nachkontrolle erfordern, um eine maligne Entwicklung auszuschließen.
- BI-RADS 4 / Befundkategorie 4: Verdächtig. Es gibt Veränderungen in der Brust, die in 2-95% der Fälle bösartig sind, und eine Gewebeentnahme (Biopsie) zur histologischen Abklärung empfohlen wird.
- BI-RADS 5 / Befundkategorie 5: Hochgradig verdächtig. Es gibt Veränderungen in der Brust, die in mehr als 95% der Fälle bösartig sind, und eine Biopsie dringend erforderlich ist.
Die BI-RADS Klassifikation / Befundkategorie hilft den Radiologen, die Mammographiebefunde zu kommunizieren und die weitere Vorgehensweise zu planen.



