Digitales Röntgen mit Flachdetektor
Röntgenuntersuchungen sind heutzutage neben den Sonographien die in der Medizin am häufigsten eingesetzten Verfahren der bildgebenden Diagnostik. Im Laufe ihres Lebens werden fast alle Menschen mindestens einmal geröntgt.
Die Verfahren der Röntgendiagnostik unterliegen seit der Entdeckung der Röntgenstrahlen durch den Physiker Wilhelm Conrad Röntgen 1895 einem ständigen Entwicklungsprozess. So haben die Fortschritte in der Röntgentechnik in den letzten Jahrzehnten dazu geführt, dass die Strahlendosis bei den einzelnen Untersuchungsverfahren deutlich reduziert werden konnte.
Bei den Röntgenaufnahmen wird nur eine extrem kurze Zeit Röntgenstrahlung von einer Röntgenröhre ausgesendet. Gerichtet auf das zu untersuchende Körperteil durchdringt die Röntgenstrahlung dieses schmerzlos und unbemerkt und gelangt auf den dahinter positionierten digitalen Detektor. Dort entsteht durch die ankommenden Röntgenstrahlen das Röntgenbild.
Die genaue Funktionsweise des Röntgens erklären wir hier:
Was ist Röntgen?

Die Röntgenstrahlung wird durch verschiedene Organe unterschiedlich stark geschwächt. Diesen Effekt macht man sich bei den verschiedenen Röntgenuntersuchungen zu nutze: Dichte Strukturen wie Knochen werden hell dargestellt, weil sie die Röntgenstrahlung stärker schwächen als weniger dichte Gewebe wie Muskel- oder Lungengewebe, die daher dunkler abgebildet werden.
Röntgenbilder können analog mittels Film-Folien-Kombination oder digital mittels Speicherfolien-Systemen oder Flachdetektor-Systemen erstellt werden.
Die Einführung von
volldigitalem Röntgen mittels Flachdetektor hat viele Vorteile für Patienten im Vergleich zu den traditionellen Film-Folien-Systemen und Speicherfolien-Systemen gebracht. Einer der wichtigsten Vorteile ist die Reduktion der Strahlenexposition, da die neuen Technologien eine geringere Strahlendosis erfordern, um hochwertige Bilder zu erzeugen. Der Einsatz eines Flachdetektor-Systems kann eine Dosisreduktion um bis zu 75 Prozent erlauben (Ärzteblatt).

Durch die Möglichkeit zur Nachverarbeitung von Bildern, die mit digitalem Röntgen aufgenommen wurden, können die Aufnahmen bearbeitet und verbessert werden, um die Helligkeit anzupassen, mehr Details zu zeigen oder um bestimmte Bereiche zu vergrößern. Hierdurch sind Wiederholungsaufnahmen aufgrund von Fehlbelichtungen praktisch ausgeschlossen, wodurch eine unnötige Belastungen für den Patienten durch wiederholte Aufnahmen vermieden wird.
Die digitale Röntgentechnologie bietet auch den Vorteil, dass sie einfacher zu archivieren und zu teilen ist als traditionelle Systeme. Digitale Bilder können auf elektronischen Datenträgern gespeichert werden, was die Zusammenarbeit zwischen den verschiedenen Ärzten erleichtert.

Volldigitales Röntgen mittels Flachdetektor bietet somit durch die Reduktion der Strahlenexposition, die Vermeidung von Wiederholungsaufnahmen und die Möglichkeit zur Bildnachverarbeitung viele Vorteile für Patienten.
Unser neues volldigitales Flachdetektor-Röntgengerät arbeitet mit einem kabellosen XL-Detektor auf fortschrittlicher Cäsiumiodid-Technologie, die für hohe Bildqualität bei gleichzeitig geringer Strahlendosis sorgt. So können hochwertige Aufnahmen mit bester Dosiseffizienz erstellt werden. Eine höhenverstellbare, flache Tischplatte mit hohem Motorisierungsgrad sorgt für einen erhöhten Patientenkomfort auch bei bewegungseingeschränkten Personen.

Bei Schwangeren sollte in der Regel zum Schutz des ungeborenen Kindes keine Röntgenstrahlung angewendet werden. Teilen Sie uns eine evtl. Schwangerschaft auf jeden Fall vor der Untersuchung mit.
Am häufigsten werden Röntgenaufnahmen von der Lunge, den Knochen und Gelenken sowie des Bauchraumes durchgeführt.
Röntgenaufnahmen sind bei uns häufig auch ohne Termin
möglich. Kommen Sie bei uns vorbei oder rufen Sie uns an und ein schneller Termin
ist kein Problem.
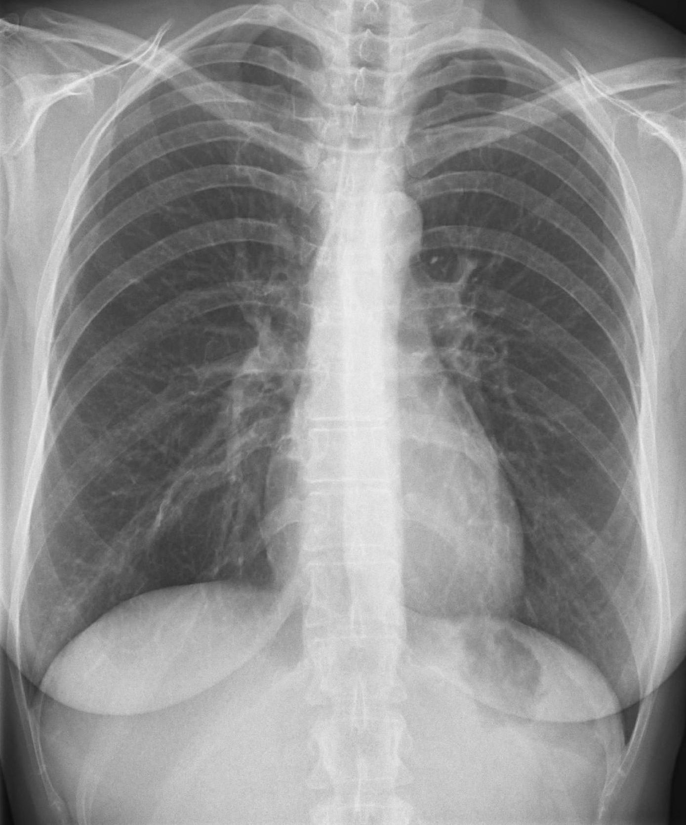
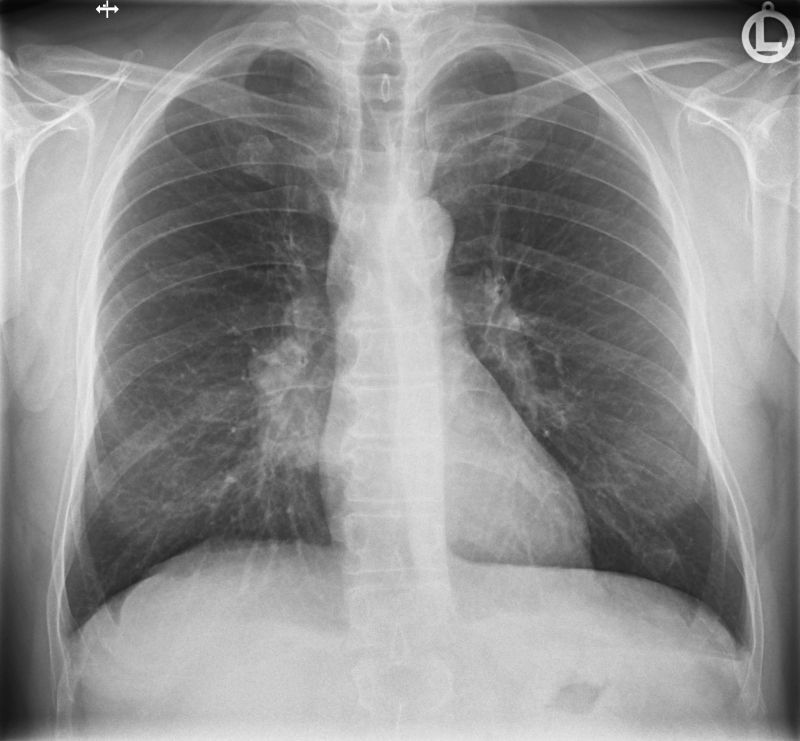
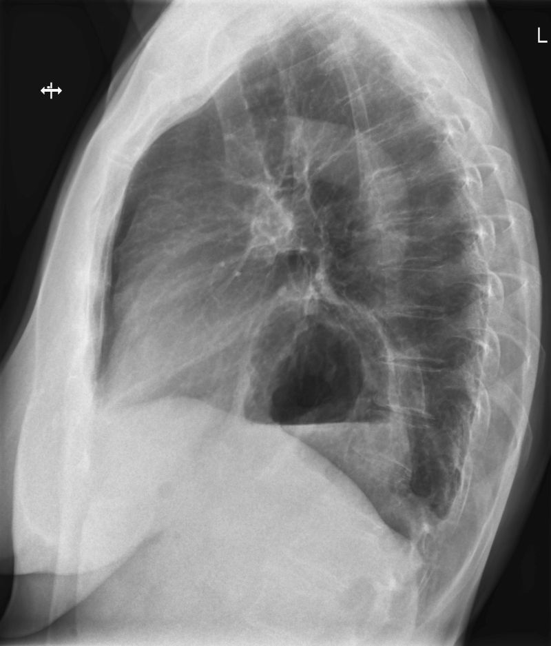
Röntgen der Lunge
Die Röntgenaufnahme der Lunge wird typischer Weise im Stehen am Wandstativ in zwei Ebenen in der Regel unter tiefer Einatmung durchgeführt. So können Veränderungen in der Lunge festgestellt und lokalisiert werden wie z.B. Tumoren, Lungenentzündung, Belüftungsprobleme von Lungenabschnitten und etliche andere Erkrankungen.
Röntgen des Skeletts und der Gelenke
Das Röntgen hat in der Orthopädie und Unfallchirurgie nach wie vor einen hohen Stellenwert. So können z.B. Knochenbrüche z.B. nach Unfall oder bei Osteoporose gefunden oder ausgekugelte Gelenke festgestellt werden. Ohne viel Zeit zu verlieren kann dann eine für Sie optimale Therapie begonnen werden. Auch das Ausmaß von Verschleißerscheinungen, die Arthrose, kann mit dem Röntgenbild festgestellt werden. In der Rheumatologie werden die Gelenke - meist Hände und Füße - geröngt, um das Ausmaß der entzündlichen Veränderungen am Knochen beurteilen zu können.
Röntgen bei Osteoporose
Osteoporose ist durch einen Verlust an Knochenmasse und eine Verschlechterung der Knochenqualität gekennzeichnet, bedingt durch ein Ungleichgewicht im Knochenstoffwechsel, bei dem der Knochenabbau überwiegt. Sie ist eine weit verbreitete Erkrankung vor allem von älteren Menschen. Eine der gravierendsten Folgen von Osteoporose sind Knochenbrüche, die aufgrund von minimaler oder sogar fehlender äußeren Belastung auftreten, sogenannte Insuffizienzfrakturen. Typische Orte für Insuffizienzfrakturen sind die Wirbelkörper der Wirbelsäule, das Handgelenk, der Oberschenkelhals und der Oberarm. Die Diagnose von Insuffizienzfrakturen erfolgt in der Regel zunächst durch Röntgenaufnahmen.
Röntgen des Bauchraumes
Beim Röntgen des Bauchraumes schaut man sich die Verteilung der Luft in den Darmschlingen an, die einen Hinweis auf z.B einen Darmverschluss geben kann. Findet man Luft im Bauchraum außerhalb des Darmes kann das ein Hinweis auf eine Perforation, ein Darmduchbruch sein.
Außerdem nutzt man das Bauchröntgen zur Suche von Fremdkörpern, wenn z.B. eine Spirale bei Frauen im Ultraschall nicht mehr gefunden werden kann oder zur Lagekontrolle von eingelegten Kathetern.











