Was ist MRT (Kernspintomographie)?
Wie funktioniert Kernspintomographie?
Ein Magnetresonanztomograph (MRT) nutzt die Eigenschaften von Wasserstoffatomen, um Schnittbilder des Körperinneren zu erzeugen.
Wasserstoffatome im Körper bestehen aus einem Proton und einem Elektron. Das Proton hat einen Eigendrehimpuls, der als Kernspin bezeichnet wird. Der Kernspin erzeugt ein magnetisches Moment, das eine kleine magnetische Wirkung hat. Wenn ein Atomkern in einem äußeren Magnetfeld platziert wird, kann sein magnetisches Moment mit dem Feld interagieren und sich ausrichten.
Wenn ein Patient in den MRT-Scanner gelegt wird, wird er von einem starken statischen Magnetfeld B0 umgeben. Dadurch werden die Wasserstoffatome im Körper ausgerichtet und die Spins der Protonen richten sich parallel oder antiparallel zum Feld aus. Allerdings ist die Ausrichtung des Kernspins nicht fest, sondern kann um die Achse des äußeren Magnetfelds rotieren. Dieses Phänomen wird als Präzession bezeichnet.
Die Präzessionsfrequenz hängt von der Stärke des äußeren Magnetfelds und dem gyromagnetischen Verhältnis des Kerns ab. Das gyromagnetische Verhältnis ist ein konstanter Faktor, der das Verhältnis zwischen dem magnetischen Moment und dem Kernspin angibt. Die Präzessionsfrequenz ist also eine charakteristische Eigenschaft eines bestimmten Kerns in einem bestimmten Magnetfeld.

FbrG, CC0, via Wikimedia Commons. Das magnetische Moment eines Atomkern präzidiert um die Achse eines externen Magnetfeldes (grün). Die Rotationsrichtung hängt vom Vorzeichen des kernspezifischen gyromagnetischen Verhältnis, γ, ab. Die Darstellung zeigt die Rotationsrichtung für γ > 0 (wie z.B. bei Protonen).
Die Frequenz der Präzession beträgt für Wasserstoffatome bei einer Magnetfeldstärke von 1,5 Tesla etwa 63,9 MHz.
Die Präzession des Kernspins kann durch Anwendung eines elektromagnetischen Pulses beeinflusst werden, der eine bestimmte Frequenz hat, die der Präzessionsfrequenz entspricht. Dieser Puls kann den Winkel zwischen dem Kernspin und dem äußeren Magnetfeld verändern und somit das magnetische Moment des Kerns manipulieren.
Durch das kurze Anlegen eines Hochfrequenzimpulses (HF-Impuls) mit der passenden Frequenz, wird eine Resonanz in den Wasserstoffkernen erzeugt. Dabei wird Energie aufgenommen und die Spins werden aus ihrer Ausrichtung gelenkt. Sobald der HF-Impuls beendet ist, kehren die Spins der Protonen wieder in ihre Ausgangsposition zurück. Dabei gibt das rotierende Wasserstoffatom ein schwaches magnetisches Signal ab, das vom MRT-System erfasst wird und als freier Induktionszerfall (FID) bezeichnet wird.
Dieses Signal wird von sogenannten Spulen empfangen, die als eine Art Antenne fungieren. Das Signal hängt von der Umgebung (z.B. Fett oder Flüssigkeit) der Protonen ab wie z.B. der Protonendichte, T1- oder T2-Zeit der Gewebe und wird in Grauwerte umgewandelt.
Eine Ortskodierung erfolgt durch das Anwenden von Gradientenfeldern (räumlich variierende Magnetfelder), so dass die Signale der Wasserstoffatome in den drei Raumrichtungen (x,y,z) unterschieden werden können. Hierdurch können Grauwerte für kleinste Volumenelemente (Voxel) errechnet werden.
Die Rohdaten werden im so genannten K-Raum abgelegt und müssen dann durch eine Fouriertransformation verarbeitet werden, um Schichtbilder in Graustufen des Körperinneren zu erzeugen.

Was ist der K-Raum?
Der K-Raum ist ein mathematisches Konzept, das bei der MRT verwendet wird. Er beschreibt die Frequenz- und Phaseninformationen, die von den Spins der Wasserstoffatome im Körper erzeugt werden, wenn sie einem magnetischen Feld ausgesetzt sind. Der K-Raum ist eine zweidimensionale Matrix, die aus vielen K-Linien besteht, die jeweils einen Satz von Datenpunkten enthalten. Die K-Linien werden durch Anwendung von Gradientenfeldern in verschiedenen Richtungen gesammelt. Die Anordnung der K-Linien im K-Raum bestimmt die Auflösung und das Kontrastverhalten des resultierenden MRT-Bildes.
Um ein MRT-Bild zu rekonstruieren, muss der K-Raum in den Bildraum transformiert werden, was typischerweise durch eine inverse Fourier-Transformation erfolgt. Der Bildraum ist eine Darstellung des Ortsraums, in dem die Helligkeit jedes Pixels proportional zur Signalintensität an dieser Stelle ist.
Was ist eine Sequenz?
Eine Sequenz beim MRT ist eine Abfolge von Magnetfeld- und Radiowellenimpulsen, die auf den zu untersuchenden Körperbereich einwirken. Die Sequenz bestimmt, wie die erzeugten Signale von den Wasserstoffatomen im Gewebe verarbeitet und in ein Bild umgewandelt werden. Es gibt verschiedene Arten von Sequenzen, die sich in der Dauer, der Anzahl und der Stärke der Impulse unterscheiden. Je nach Sequenz können unterschiedliche Gewebearten und Kontraste dargestellt werden.
Zum Beispiel können T1-gewichtete Sequenzen Fettgewebe hell und Wasser dunkel erscheinen lassen, während T2-gewichtete Sequenzen das Gegenteil bewirken. Die Wahl der geeigneten Sequenz hängt von der Fragestellung und dem zu untersuchenden Organ ab.
Wieso sind mehrere Sequenzen bei einer Untersuchung notwendig?
Jede Sequenz erzeugt ein anderes Bild, das bestimmte Eigenschaften der Gewebe hervorhebt oder unterdrückt. Zum Beispiel kann eine Sequenz die Signalintensität von Fettgewebe reduzieren, um andere Strukturen besser sichtbar zu machen. Eine andere Sequenz kann die Durchblutung oder den Stoffwechsel der Gewebe anzeigen. Eine weitere Sequenz kann die Bewegung (Diffusion) von Wasser in den Geweben messen, um Hinweise auf mögliche Schäden oder Entzündungen zu geben.
Die Wahl der geeigneten Sequenzen hängt von der Fragestellung ab, die mit der MRT-Untersuchung beantwortet werden soll. Zum Beispiel werden bei einer MRT des Gehirns andere Sequenzen verwendet als bei einer MRT der Leber oder der Wirbelsäule. Die Anzahl und die Reihenfolge der Sequenzen können je nach Untersuchungsprotokoll variieren. Es werden immer mehrere Sequenzen durchgeführt, um ein umfassendes Bild von den untersuchten Geweben zu erhalten und mögliche Pathologien zu erkennen oder auszuschließen.
Wie funktioniert Protonendichte-, T1- und T2-Wichtung?
Die Protonendichte-, T1- und T2-Wichtung sind verschiedene Methoden, um die Signalintensität von Geweben in der Magnetresonanztomographie (MRT) zu beeinflussen. Die Signalintensität hängt von der Anzahl der Protonen, die in einem bestimmten Volumen vorhanden sind, und von der Geschwindigkeit, mit der sie ihre Magnetisierung nach einer Anregung durch einen Radiopuls wiederherstellen, ab.
Die Protonendichtewichtung ist die einfachste Methode, die nur von der Anzahl der Protonen in einem Gewebe abhängt. Je mehr Protonen vorhanden sind, desto heller erscheint das Gewebe auf dem Bild. Die Protonendichtewichtung ist eine häufig verwendete Wichtung in der muskuloskelettalen Radiologie.
Die T1-Wichtung ist eine Methode, die von der Längsrelaxationszeit (T1) der Protonen abhängt. Die Längsrelaxationszeit ist die Zeit, die die Protonen benötigen, um ihre Magnetisierung entlang des externen Magnetfeldes wieder aufzubauen. Die T1-Wichtung wird erreicht, indem Radiopulse mit einer kurzen Repetitionszeit (TR) und kurzen Echozeit (TE) verwendet werden. Die T1-Wichtung ist nützlich, um Fettgewebe von Wasser zu unterscheiden, da Fett eine kurze T1-Zeit hat und daher hell erscheint, während Wasser eine lange T1-Zeit hat und daher dunkel erscheint in T1-Wichtung.
Die
T2-Wichtung ist eine Methode, die von der Querrelaxationszeit (T2) der Protonen abhängt. Die Querrelaxationszeit ist die Zeit, die die Protonen benötigen, um ihre Magnetisierung senkrecht zum externen Magnetfeld zu verlieren. Die T2-Wichtung wird erreicht, indem Radiopulse mit einer langen Repetitionszeit (TR) und einer langen Echozeit (TE) verwendet werden. Die T2-Wichtung ist nützlich, um pathologische Veränderungen von Geweben zu erkennen, da diese oft eine verlängerte T2-Zeit haben und daher hell erscheinen.
Was ist eine multiparametrische MRT?
Eine multiparametrische MRT ist eine spezielle Form der Magnetresonanztomographie (MRT), die verschiedene MRT-Verfahren kombiniert, um die Struktur und Funktion von Geweben und Organen zu untersuchen. Die multiparametrische MRT wird z.B. in der Diagnostik von Prostatakrebs eingesetzt, da sie die Lage, Größe und Aggressivität von Tumoren besser beurteilen kann als herkömmliche MRT-Verfahren.
Die multiparametrische MRT besteht aus vier Komponenten: der T1-gewichteten MRT, der T2-gewichteten MRT, der
diffusionsgewichteten MRT und der
dynamischen kontrastmittelverstärkten MRT. Jede dieser Komponenten liefert unterschiedliche Informationen über das Gewebe, die zusammen ein umfassendes Bild ergeben. Die multiparametrische MRT ist eine nicht-invasive und strahlungsfreie Untersuchungsmethode, die eine hohe Genauigkeit und Zuverlässigkeit aufweist.
Was ist diffusionsgewichtete Kernspintomographie?
Die diffusionsgewichtete Magnetresonanztomographie (DW-MRT) ist eine spezielle Form der MRT, die die Bewegung von Wassermolekülen im Gewebe sichtbar macht. Dazu wird die Diffusion von Wasserstoffprotonen in verschiedenen Geweben gemessen. Die DW-MRT ist nützlich für die Diagnose von Erkrankungen, die die Diffusion von Wasser im Gewebe beeinträchtigen (Diffusionsrestriktion), wie z.B. akute Schlaganfälle, manche Tumore oder einige Formen von Entzündungen. Die DW-MRT kann auch Informationen über die Struktur und Organisation von Nervenfasern liefern, indem sie die Richtung der Diffusion misst. Dies wird als Diffusionstensorbildgebung (DTI) bezeichnet.
Die Sequenz besteht aus mehreren Schritten:
- Zunächst wird ein 90°-Puls angelegt, um die Magnetisierung der Protonen in die transversale Ebene zu kippen.
- Dann wird ein starker Gradient in einer bestimmten Richtung eingeschaltet, um die Protonenphasen abhängig von ihrer Position zu machen. Dieser Gradient wird als Diffusionsgradient bezeichnet.
- Nach einer kurzen Zeit wird der Diffusionsgradient ausgeschaltet und ein 180°-Puls angelegt, um die Protonenphasen umzukehren.
- Nach einer weiteren kurzen Zeit wird der Diffusionsgradient erneut eingeschaltet, aber in entgegengesetzter Richtung. Dadurch werden die Protonenphasen wieder in Einklang gebracht, wenn sie sich nicht bewegt haben. Wenn sie sich jedoch aufgrund von Diffusion bewegt haben, werden sie eine veränderte Phase haben.
- Schließlich wird ein Echo detektiert, das die Summe der Protonensignale ist. Das Echo wird durch den Diffusionsgradienten beeinflusst, je nachdem, wie stark die Diffusion in der gewählten Richtung ist. Die Stärke der Diffusionswichtung wird durch den b-Wert angegeben.
Dieser Vorgang wird für mehrere Richtungen des Diffusionsgradienten wiederholt, um die Diffusion in verschiedenen Raumrichtungen zu erfassen. Die resultierenden Bilder werden als diffusionsgewichtete Bilder bezeichnet und können zur Berechnung von Parametern wie dem Apparent Diffusion Coefficient (ADC) verwendet werden, der als
ADC-Karte dargestellt wird.
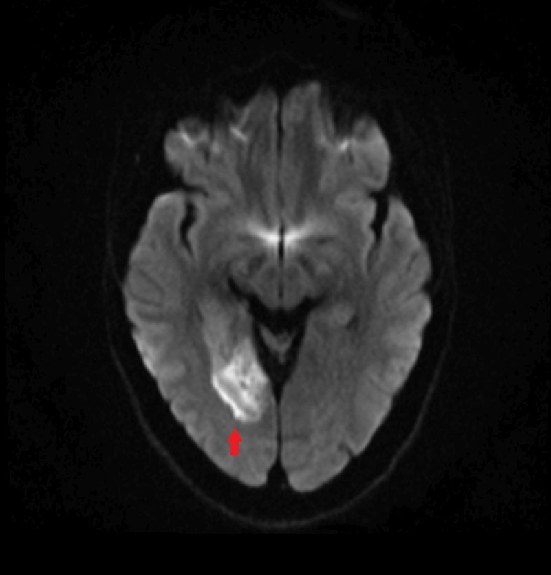
diffusionsgewichetes Bild bei Infarkt


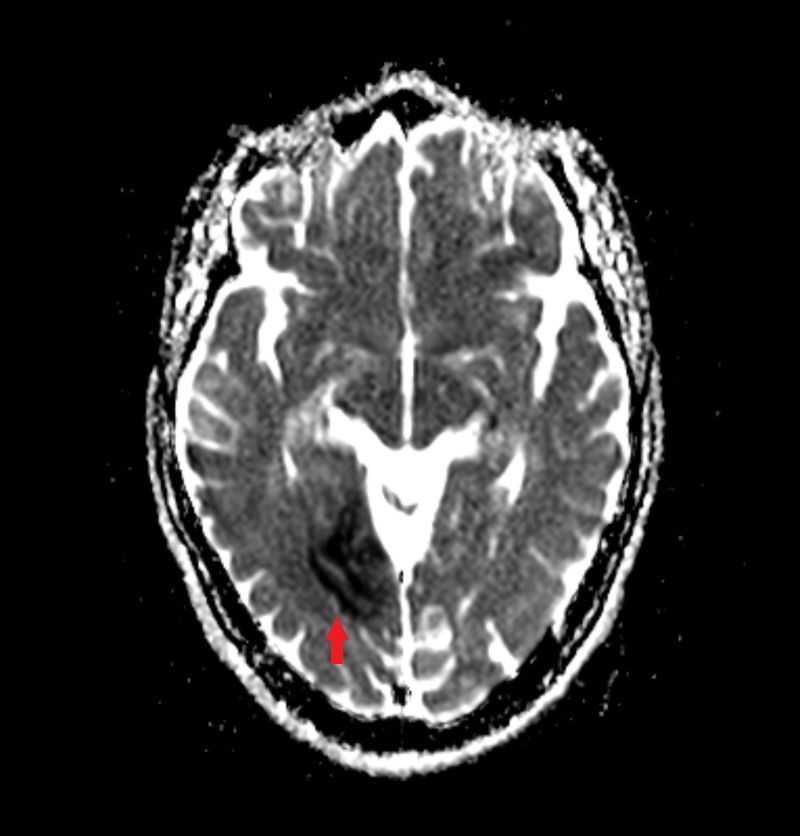
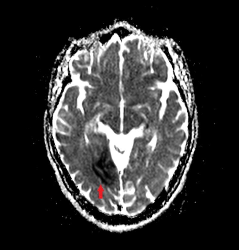
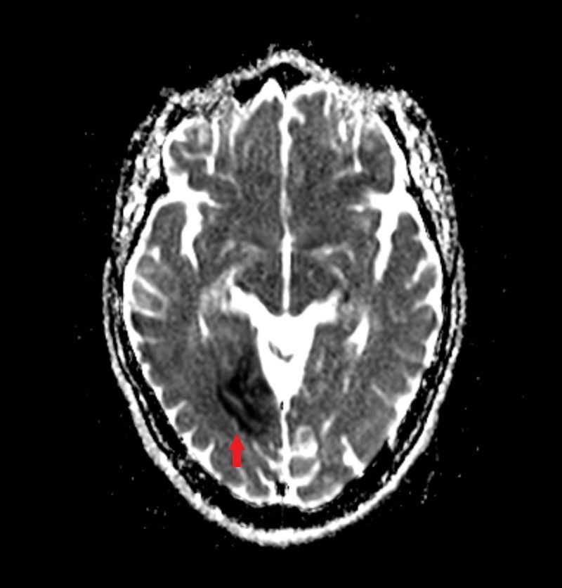
gleicher Patient mit ADC-Karte
Was ist dynamische kontrastmittelverstärkte MRT?
Eine dynamische kontrastmittelverstärkte MRT-Sequenz ist eine spezielle Art von MRT-Untersuchung, die die Durchblutung und die Gefäßpermeabilität von Geweben oder Organen sichtbar macht. Dabei wird ein Kontrastmittel in eine Vene injiziert, das sich in den Blutgefäßen verteilt und die Signalintensität der MRT-Bilder verändert.
Die Sequenz besteht aus vielen schnellen Bildaufnahmen, die in kurzen Zeitabständen wiederholt werden. So kann die Anreicherung und der Abfluss des Kontrastmittels in verschiedenen Gewebetypen verfolgt werden. Die dynamische kontrastmittelverstärkte MRT-Sequenz kann zum Beispiel bei der Diagnose von Tumoren, Entzündungen oder Durchblutungsstörungen eingesetzt werden und wird z.B. bei
Prostata-MRT oder
Mamma-MRT eingesetzt.