Osteoporose: Was Sie über die Volkskrankheit wissen sollten
Osteoporose ist eine ernste Erkrankung, die die Knochen schwächt und das Risiko für Knochenbrüche erhöht. In Deutschland leiden mehr als sieben Millionen Menschen unter Osteoporose (deutsches Ärzteblatt). Hier erfahren Sie alles, was Sie über Osteoporose wissen sollten, über die Ursachen, Symptome, Diagnose und Behandlung von Osteoporose sowie über die Möglichkeiten der Vorbeugung.
Was ist Osteoporose?
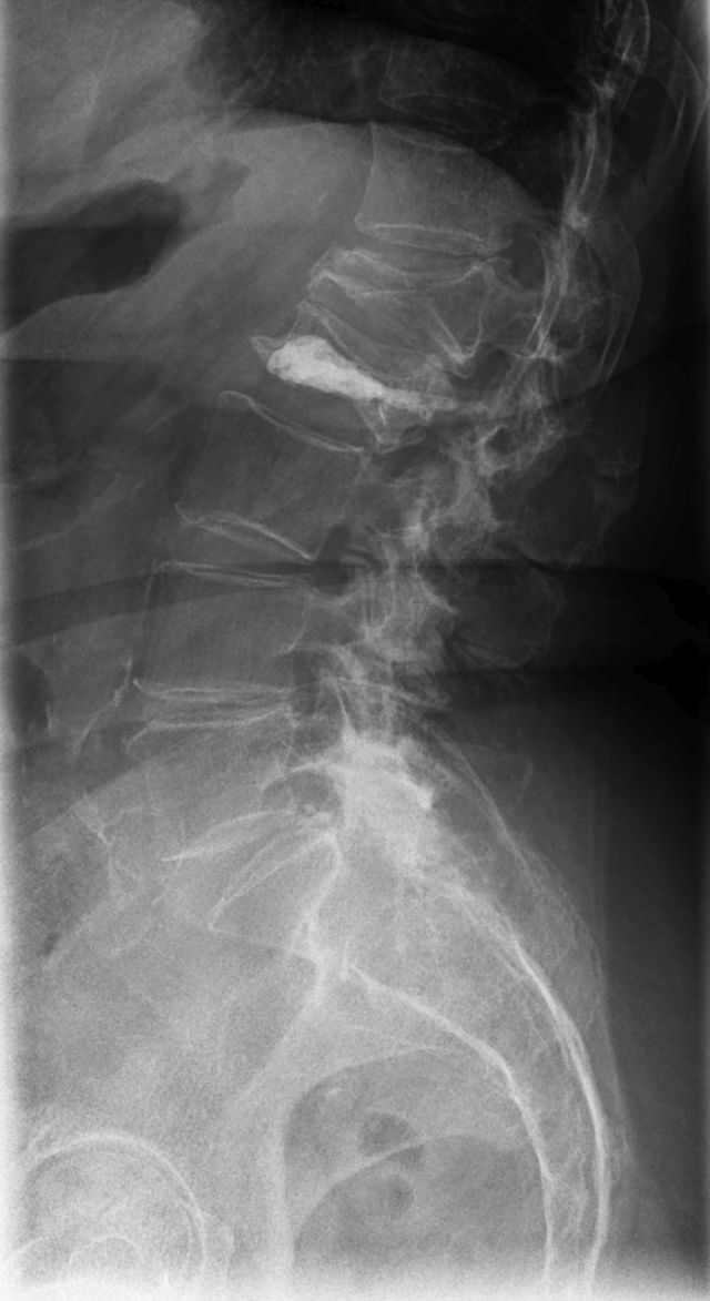
Osteoporose bedeutet wörtlich "poröser Knochen". Es handelt sich um eine systemische Skeletterkrankung, die durch eine niedrige Knochenmasse und eine mikroarchitektonische Verschlechterung des Knochengewebes charakterisiert ist. Die Knochen werden brüchiger und anfälliger für Brüche, die schon bei geringfügigen äußeren Anlässen wie Stürzen oder Stößen oder sogar unter Alltagsbelastungen auftreten können. Die häufigsten Stellen für Osteoporose-bedingte Brüche sind die Wirbelkörper in der Lendenwirbelsäule, der Oberschenkelhals und die Speiche im Handgelenk (Radiusfraktur). Sind bereits Brüche als Folge der Osteoporose aufgetreten, so liegt eine manifeste Osteoporose vor. Die Symptome der Osteoporose sind durch Knochenbrüche und ihre Folgen geprägt, die zu einer deutlichen Einschränkung der Lebensqualität führen, insbesondere bei hüftnahen Frakturen. Es gibt keine eindeutigen Beschwerden der Osteoporose, die Brüchen vorausgehen.
Wer ist von Osteoporose betroffen?
Osteoporose ist eine Volkskrankheit, die in Deutschland 6,1 % der Menschen (22,6 % bei Frauen, 6,6 % bei Männern) betrifft. Die Häufigkeit der Osteoporose liegt bei Frauen im Alter über 70 Jahren bei 45 %, bei Männern im Alter über 70 Jahren bei 17 %. Osteoporose-typische Frakturen nehmen nach dem 50. Lebensjahr bei Frauen und nach dem 60. Lebensjahr bei Männern deutlich zu. Das Lebenszeitrisiko für Frakturen liegt für Frauen über 50 Jahren bei 33 % und bei Männern bei 20 % (DVO-Leitlinie).

Was sind die Ursachen von Osteoporose?
Die Ursachen von Osteoporose sind vielfältig und können sowohl genetische als auch umweltbedingte Faktoren umfassen. Zu den wichtigsten Risikofaktoren gehören:
- Alter: Mit zunehmendem Alter nimmt die Knochendichte ab und das Risiko für Osteoporose steigt.
- Geschlecht: Frauen haben ein höheres Risiko für Osteoporose als Männer, vor allem nach den Wechseljahren.
- Frakturvorgeschichte: Liegen bereits Osteoporose-bedingte Knochenbrüche vor, ist das Risiko für weitere Frakturen erhöht.
- Grunderkrankungen: Zahlreiche Grunderkrankung (z.B. endokrinologisch, rheumatologisch oder neurologisch) erhöhen das Osteoporoserisiko.
- Familiengeschichte: Wenn nahe Verwandte an Osteoporose oder Knochenbrüchen leiden, erhöht sich das eigene Risiko.
- Ernährung: Eine ausreichende Zufuhr von Kalzium und Vitamin D ist wichtig für den Knochenaufbau und -erhalt.
- Bewegung: Körperliche Aktivität stärkt die Muskeln und die Knochen und beugt dem Knochenabbau vor.
- Rauchen: Rauchen schädigt die Knochenzellen und fördert den Knochenabbau.
- Alkohol: Ein hoher Alkoholkonsum kann die Kalziumaufnahme im Darm beeinträchtigen und die Hormonproduktion stören.
- Medikamente: Einige Medikamente können als Nebenwirkung den Knochenstoffwechsel beeinflussen, zum Beispiel Kortison oder Schilddrüsenhormone.
Wie wird Osteoporose diagnostiziert?
Die Diagnose einer Osteoporose stützt sich auf eine niedrige Knochendichte als messbaren Faktor einer Osteoporose. Die Knochendichtemessergebnisse sind mit dem Frakturrisiko assoziiert. Der Goldstandard zur Knochendichtemessung ist die Dual-Energy X-Ray Absorptiometry (DXA). Dabei wird ein Wert ermittelt, der als T-Wert bezeichnet wird und angibt, wie stark die Knochendichte vom Durchschnittswert eines jungen Erwachsenen abweicht. Ein T-Wert von -2,5 oder niedriger bedeutet messtechnisch eine Osteoporose. Zusätzlich werden weitere Untersuchungen wie Blut- und Urinuntersuchungen durchgeführt, um mögliche andere Ursachen für den Knochenabbau auszuschließen. Die auf der DXA beruhende Definition der Osteoporose gilt erst nach Ausschluss anderer Erkrankungen, die mit einer Verminderung des Knochenmineralgehalts einhergehen können. Das Frakturrisiko wird neben der Knochendichte von weiteren Risikofaktoren beeinflusst.
Basisdiagnostik:
1. Anamnese mit Erfassung von Risikofaktoren für Frakturen
2. klinische Befunderhebung
3. Knochendichtemessung mittels DXA
4. Basislabor
5. ggf. bildgebende Diagnostik bei Hinweisen auf osteoporotische Wirbelkörperfrakturen
Eine Basisdiagnostik wird bei Frauen nach der Menopause und bei Männern ab 50 Jahren in Abhängigkeit vom Frakturrisikofaktorenprofil empfohlen. Eine generelle Empfehlung zur Basisdiagnostik gibt es bei Frauen und Männern ab dem 70. Lebensjahr, soweit durch geplante therapeutische Maßnahmen gerechtfertigt.

Wie wird Osteoporose behandelt?
Die Behandlung von Osteoporose zielt darauf ab, den Knochenabbau zu verlangsamen, die Knochenbruchgefahr zu senken und die Lebensqualität zu verbessern. Dazu gehören:
- Medikamente: Es gibt verschiedene Medikamente, die den Knochenstoffwechsel beeinflussen und das Risiko für Knochenbrüche reduzieren können. Die Wahl des Medikaments hängt von verschiedenen Faktoren ab, wie dem Alter, dem Geschlecht, dem Schweregrad der Osteoporose und möglichen Nebenwirkungen. Die Medikamente müssen in der Regel über einen längeren Zeitraum eingenommen werden, um wirksam zu sein.
- Ernährung: Eine ausgewogene Ernährung mit ausreichend Kalzium und Vitamin D ist wichtig für die Knochengesundheit. Kalzium ist z.B. in Milchprodukten, grünem Gemüse, Nüssen oder angereicherten Lebensmitteln enthalten. Vitamin D wird zum Teil durch die Sonneneinstrahlung auf der Haut gebildet, kann aber auch über Nahrungsergänzungsmittel zugeführt werden.
- Bewegung: Regelmäßige körperliche Aktivität stärkt die Muskeln und die Knochen und beugt dem Knochenabbau vor. Dabei sollten vor allem Übungen gewählt werden, die die Knochen belasten, wie zum Beispiel Gehen, Joggen, Tanzen oder Krafttraining. Auch Sturzprophylaxe-Übungen können sinnvoll sein, um das Gleichgewicht und die Koordination zu verbessern.
- Lebensstil: Das Rauchen sollte aufgegeben oder zumindest reduziert werden, da es den Knochenabbau fördert. Der Alkoholkonsum sollte moderat sein, da ein hoher Alkoholkonsum die Kalziumaufnahme im Darm beeinträchtigt und die Hormonproduktion stört.
Wie kann man Osteoporose vorbeugen?
Die Vorbeugung von Osteoporose beginnt schon in der Kindheit und Jugend, wenn der größte Teil der Knochenmasse aufgebaut wird. Eine gesunde Ernährung mit ausreichend Kalzium und Vitamin D sowie regelmäßige Bewegung sind wichtig für die Entwicklung eines starken Skeletts. Im Erwachsenenalter sollte man diese Maßnahmen fortsetzen, um den Knochenabbau zu verlangsamen. Außerdem sollte man Risikofaktoren wie Rauchen oder Alkohol vermeiden oder reduzieren. Ab einem bestimmten Alter oder bei Vorliegen bestimmter Risikofaktoren ist eine Knochendichtemessung sinnvoll, um eine Osteoporose frühzeitig zu erkennen und zu behandeln.

Fazit
Osteoporose ist eine häufige Erkrankung, die die Knochen schwächt und das Risiko für Knochenbrüche erhöht. Die Ursachen sind vielfältig und können sowohl genetische als auch umweltbedingte Faktoren umfassen. Die Diagnose erfolgt durch eine Knochendichtemessung mittels DXA, die den Grad des Knochenabbaus bestimmt. Die Behandlung besteht aus Medikamenten, Ernährung, Bewegung und Lebensstiländerungen, die den Knochenabbau verlangsamen und die Knochenbruchgefahr senken sollen.



